手术科室
Operating Department
滕州市中心人民医院神经外二科作为鲁西南地区区域性神经外科中心,是枣庄市重点学科,国家卫健委脑出血外科诊疗基地。现有开放床位53张。现有医师14人,护士12人,其中有枣庄市学科带头人1名。副主任医师以上人员3人,主治医师9人,博士1人,硕士研究生12人。
学科带头人
续继军,中共党员,主任医师,脑科中心副主任,神经外科主任兼神经外二科主任。枣庄市有突出贡献的中青年专家。兼任山东省医师协会神经外科分会委员、山东省疼痛医学会神经外科专业委员会常务委员、枣庄医学会神经外科分会副主任委员。1993年毕业于青岛医学院,1999年及2007年分别在山东省立医院及上海长海医院进修。
擅长颅内与椎管内肿瘤的显微切除术,颅内动脉瘤夹闭术、三叉神经痛及面肌痉挛的微血管减压术(MVD)以及颅颈交界区畸形的手术治疗,尤其是小脑扁桃体下疝并颅颈交界区畸形的减压+内固定手术治疗。
神经外二科位于内科大楼六层,住院环境优雅,全病区实行整体优质护理。科室先后与北京天坛医院、北京三博脑科医院、上海长海医院、上海长征医院、复旦大学中山医院、齐鲁医院、山东省立医院建立了业务协作关系,并聘请上述医院专家为我科的客座教授。
神经外二科目前开展的内容包括:
(一)颅脑肿瘤的规范化诊治:
开展颅内各种良恶性肿瘤的显微手术,积极践行“微创、精准、个体化”治疗理念。通过改进微创入路、应用新设备新技术(神经内镜、神经电生理监测等),显著提高肿瘤切除率;设立多学科综合治疗协作组(MDT),为垂体瘤、胶质瘤患者提供个体化、综合性诊疗服务。
(二)脑血管病的综合性诊治:
应用3D-SLICER、神经外科导航机器人、多模态等综合方式开展神经系统血管疾病的显微外科及微创介入治疗。涵盖颅内动脉瘤、脑动静脉畸形、烟雾病(Moyamoya病)、高血压脑出血、脑梗塞、颈动脉狭窄等出血性、缺血性神经血管疾病。率先在鲁西南地区开展并推广神经内镜治疗高血压脑出血,荣获全国首批脑出血外科诊疗基地。在复杂动脉瘤开颅夹闭、颈动脉内膜剥脱、颞浅动脉-大脑中动脉吻合等方面技术成熟。
(三)功能神经外科:
为我科的特色亚专科,结合神经导航、机器人等设备,行球囊压迫治疗三叉神经痛,大大提高了疗效和安全性;利用小切口微创技术常规开展微血管减压(MVD)治疗面肌痉挛、三叉神经痛、舌咽神经痛,开创了脑功能性疾病精准、微创的治疗模式,数量与质量均为省内领先。
(四)急症创伤综合救治:
设立院前急救-绿色通道-规范救治-神经重症监护-功能康复全流程综合救治体系,大大提高了重症颅脑损伤患者的存活率,降低了致残率,技术与治疗效果居于省内领先水平。
(五)脊柱脊髓神经外科:
科室常规开展髓内、髓外(包括椎管内外)肿瘤的手术治疗以及肿瘤切除后的脊柱内固定手术,针对脊柱脊髓先天性疾病(颅颈交界区畸形、Chiari畸形、脊髓空洞、脊髓栓系综合征等)制定个体化诊疗方案,取得了良好治疗效果。
科室主要诊疗范围
1. 颅脑肿瘤的显微外科治疗,包括神经胶质瘤、脑膜瘤、脑转移瘤、鞍区肿瘤、神经鞘瘤、胆脂瘤等。
2.神经系统血管疾病的微创及介入治疗,涵盖颅内动脉瘤、脑动静脉畸形、烟雾病(Moyamoya病)、海绵状血管瘤、高血压脑出血、颈动脉及椎-基底动脉狭窄、各种脊髓血管畸形等出血性、缺血性神经血管疾病。
3.颅神经疾病:三叉神经痛、面肌痉挛和舌咽神经痛等的微血管减压(MVD)手术;经皮三叉神经半月节球囊压迫治疗三叉神经痛。
4.颅脑创伤的综合治疗,包括:各类颅内血肿清除术、标准大骨瓣减压、颅内压监测、视神经减压术、慢性硬膜下血肿钻孔引流术、颅骨缺损整复修补术(三维塑型钛网、PEEK)、脑室腹腔分流术等。
5.脊柱脊髓疾病,包括:髓内、髓外肿瘤的手术治疗,如室管膜(下)瘤、椎管内外哑铃型神经鞘瘤、星形细胞瘤、血管母细胞瘤、畸胎瘤、脂肪瘤等,以及肿瘤切除后的脊柱内固定手术;脊柱脊髓先天性疾病的手术治疗,如颅颈交界区畸形、Chiari畸形、脊髓空洞、脊柱裂、脊膜脊髓膨出、脊髓栓系综合征、骶管囊肿等。
【手术图片】

动脉瘤夹闭术前 动脉瘤夹闭术后

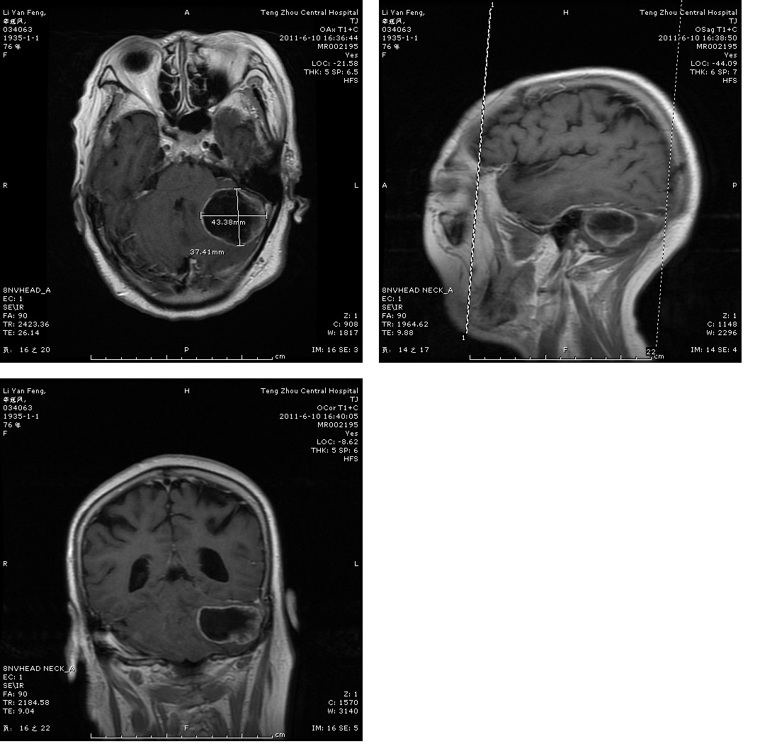
垂体瘤术前 垂体瘤术后

转移瘤切除术前

转移瘤切除术后
三叉神经微血管减压手术切口

术中显微镜镜下神经显露

椎管内肿瘤 椎管内肿瘤术中

你所在的位置: