非手术科室
Non operating department
心血管内科二病区
日期:2025-05-07 14:47:42 浏览量:14122
科室介绍
滕州市中心人民医院心血管内科二病区是枣庄市重点学科,现有病床55张。每年的心脏介入手术超过1000余台次。长期与中国医学科学院阜外心血管病医院、山东大学齐鲁医院、山东省立医院、山东省千佛山医院等合作。
专科特色
心内二科诊疗技术不断提高,在心血管危重症、疑难病例诊治、急救方面积累了丰富的经验。介入心脏病学为重点主攻方向之一,已全面开展国内现有的心脏介入手术方法,介入诊断与治疗已达到国内先进水平,确立了在鲁南地区心血管领域的核心地位。
主要的介入诊疗项目
冠心病介入诊疗技术:包括冠状动脉造影术、经皮冠状动脉腔内成形及支架术(PCI)、经桡动脉冠状动脉介入治疗(TRI)、血流储备分数(FFR)测定等。介入团队24小时候命,能胜任急诊PCI。对慢性闭塞性病变(CTO)的治疗亦达到国内先进水平。
心律失常射频消融术 :包括阵发性室上性心动过速、室性心动过速、心房扑动、心房颤动的射频消融治疗。心脏先天性心脏病的介入治疗:包括先天性心脏病房间隔缺损封堵术、室间隔缺损封堵术等。

科室荣誉

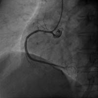
右冠状动脉闭塞 介入术后右冠开通

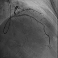
前降支近端严重狭窄 介入术后狭窄消失
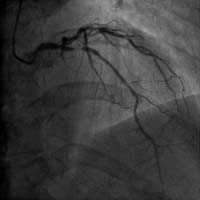
介入手术治疗严重冠心病

Carto三维定向标测系统指导下房颤射频消融术

心脏起搏器植入术

房间隔缺损封堵术

和谐的医患关系


爱心讲堂

你所在的位置: